logo

Dental Implants
& Periodontology
of Arizona

5300 N. Central Ave., Suite 130
Phoenix, AZ 85012

602-266-3430
  • About Us
    • Home
    • Meet Our Specialists
    • Meet the Team
    • Why Choose Us
    • Tour Our Office
    • News and Events
    • Blogs
    • FAQ
  • Our Services
    • Non-Surgical Periodontal Therapy
    • Dental Implants
    • Gummy Smile Treatment
    • Dental Sedation Options
    • Relieving Dental Anxiety
    • View All Services
  • Smile Gallery
  • Testimonials
  • Contact Us
    • Make An Appointment
    • New Patient Forms
    • Payment Options
Previous Image
Next Image

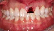
Before 1

Posted on September 2, 2015Full size 229 × 134

Post navigation

Published inPre and Post Alloderm Soft Tissue Grafting
  • Read Reviews
  • Leave Reviews
Copyright © 2025 Dental Implants and Periodontology of Arizona | Orest G. Komarnyckyj, D.D.S - All Rights Reserved | Sitemap | Privacy